Dr. Aierress Davis, DDS
Dr. Aierress Davis, DDS
Dr. Aierress Davis, DDS
🩺
MedicalReviewer
🦷
Periodontist
Expertise
Patient Education & Gum Health
Education
Meharry Medical College School of Dentistry
University of Central Florida

Highlights

  • Board-certified general dentist
  • Passionate about making oral health entertaining and easy to understand for all patients.

Education

Dr. Aierress Davis is a licensed general dentist training for an Advanced Certificate in Periodontics, a dental specialty that focuses on implant placement and the treatment of gum disease.

Experience

- Board-certified general dentist - Passionate about making oral health entertaining and easy to understand for all patients.

About Teeth Talk

TeethTalkGirl.com was created by a passionate dental hygienist, Whitney DiFoggio, MA, RDH.  Whitney’s journey of spreading dental health awareness began on the YouTube platform — where she continues to create educational videos for the public. 

Dentistry is not a one-size-fits-all!  From discovering the best dental floss to understanding dental treatment options, our goal is to provide you with information to take an active role in your oral health. Learn more about us!

Recent articles from Dr. Aierress Davis, DDS
How To Brush Teeth Properly

How To Brush Teeth Properly

You might be doing it twice a day already, but do you know how to properly brush your teeth? Learn how to brush the right way.
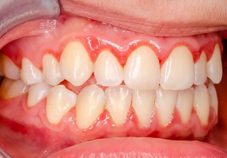
Gingivitis: Causes, Risks, and Treatments

Gingivitis: Causes, Risks, and Treatments

Gingivitis treatment starts with prevention. This common oral condition can evolve into a serious gum infection that ultimately causes tooth loss.
Is Water Flossing Better Than String Flossing?

Is Water Flossing Better Than String Flossing?

When it comes to comparing flossing vs. water flossers, there are some big benefits to consider.
Does Scaling Teeth Damage Teeth?

Does Scaling Teeth Damage Teeth?

Scaling teeth involves using special dental tools to safely lift buildup off your tooth enamel and dentin (the tooth surface just below the gums.)