7 Reasons For A Scalloped Tongue & Treatments
Having scalloping on tongue edges is usually the side-effect of some co-existing condition or lifestyle issue8 Signs of Trench Mouth & How To Get Rid Of It
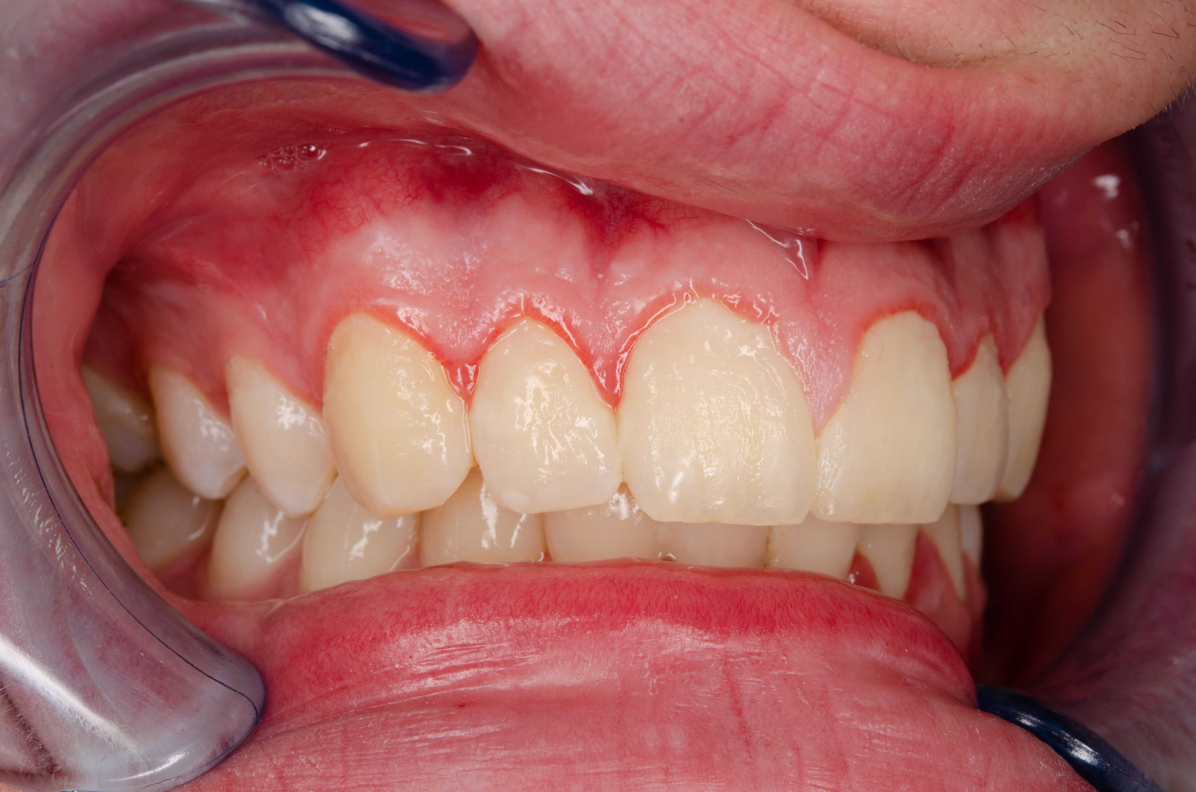
Trench mouth is a serious oral infection that is known for causing severe pain, inflammation, and ulceration in the gums.Overcoming Open Bite: 4 Types, Causes & Treatment Options
What is an open bite? A condition where your teeth don’t close all the way together like they’re supposed to.What Is Dental Plaque & How To Remove It
Dental plaque is a thin film of oral bacteria and acid byproducts (aka germ poop) that form on your teeth.


