6 Best Electric Toothbrushes for Sensitive Teeth
Select the best electric toothbrush for sensitive teeth with features recommended by a dental hygienist for improved oral hygiene.8 Signs of Trench Mouth & How To Get Rid Of It
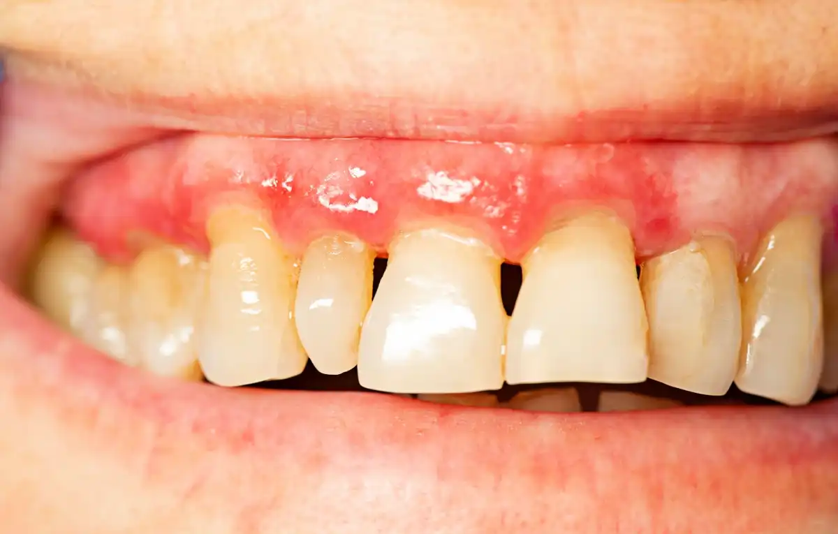
Trench mouth is a serious oral infection that is known for causing severe pain, inflammation, and ulceration in the gums.9 Reasons for a Boil or Bump on Gums
Gum bumps vary in severity and cause, from infections to minor injuries.Periodontal Maintenance vs. Regular Cleaning
Regular dental cleaning prevents gum disease and maintains a healthy smile,.


