7 Best Floss & Dental Flossers According to A Dental Hygienist
Best dental floss on the market!6 Best Water Flossers of 2026 Tested by Dental Professionals
Which is the best Waterpik or water flosser? Do you want one that has the ADA seal of acceptance, or small and portable, or one with a built-in brush?How To Remove PLAQUE vs.TARTAR
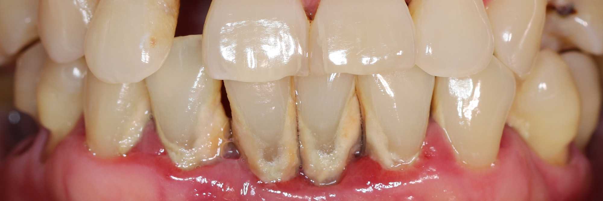
What's the difference and how to remove plaque versus tartar. Having heavy plaque and tartar buildup can affect your overall health.5 Types of Dental Cleanings
Dental cleanings remove plaque, tartar, and stain buildup that you can't clean off at home.




