Does Clove Oil Really Work for Toothaches?
Clove oil works for easing toothache symptoms and sensitive teeth. It’s still included in products that dentists use today.7 Reasons Why You’re Teeth Grinding And How To Stop
If you’re experiencing symptoms of repeated teeth clenching and grinding, talk with your dentist.Cavities & Tooth Decay | Everything You Need To Know
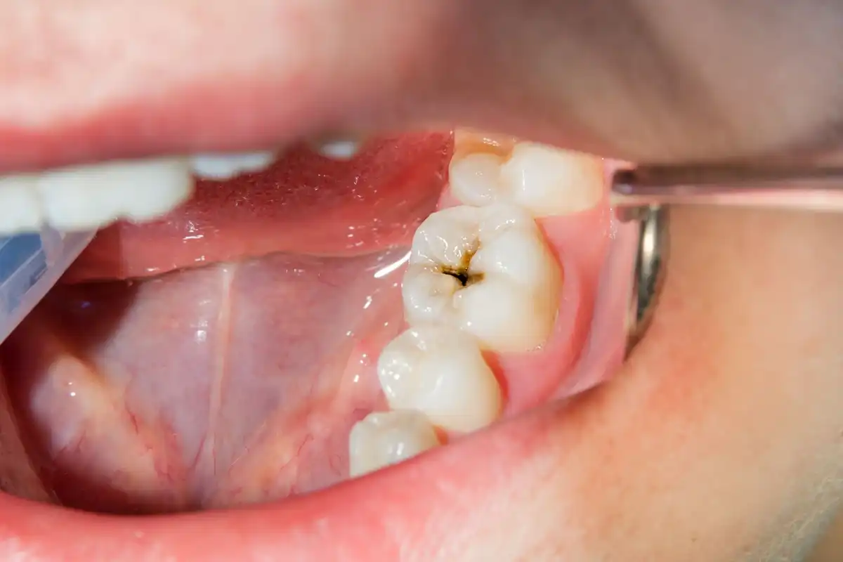
Tooth decay/cavities is a bacterial infection where the hard tooth surfaces start to erode, creating holes in the tooth.10 Reasons Your Teeth Feel Weird or Tingling
A tooth feeling weird or tingly can be an early sign of tooth decay, food stuck in the gum, or gum disease. Treat the issue at home or call your dentist.


