Understanding Dental Myths and Facts
In the age of social media, misinformation about dental health can spread rapidly.How to Take PERFECT Dental X-rays! 7 Tips and Tricks
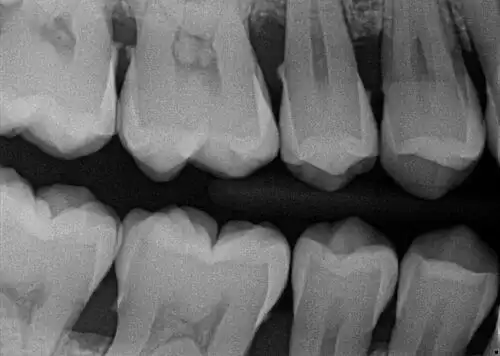
How to take a good dental x-ray is not only about proper technique... but actually understanding what you are looking for in the image is super important too!Are Dental X-Rays Safe?
Your dentist and hygienist use dental X-rays to see areas of your mouth that aren’t visible. Are they safe? Yes, modern digital X-rays are safe.Dental X-rays While Pregnant - Are They Safe?
Thanks to today’s low-radiation digital X-rays while pregnant and ALARA, you and your child will be completely safe if dental radiographs are needed.

